1.12.15.2 Labirintite (fig.1-2-3)
Definizione: infezione di origine batterica, virale, da spirochete o micotica, sierosa o purulenta degli spazi e delle strutture membranose della coclea e del labirinto vestibolare. Le labirintiti vengono definite come otiti interne. Se ne distinguono classicamente due stadi: la labirintite sierosa e la labirintite suppurativa( Goldstein N.A., 1998 ; Luntz M.,2001; Gliklich R.E.,1996).
• Vie di diffusione: otogena, meningogena o ematogena.
![]() |
![]() |
Epidemiologia
Non si conosce la frequenza delle labirintiti che complicano le OMA, anche se, probabilmente, è molto bassa. È probabile che alcune labirintiti sierose che complicano un’OMA guariscano con il trattamento di quest’ultima, in assenza di diagnosi precisa della complicanza(Luntz M.,2001). Le labirintiti sono più frequenti nel corso delle mastoiditi, complicando circa l’1% delle mastoiditi nel bambino e il 10% nell’adulto (Luntz M.,2001). Queste sono più spesso infiammatorie (labirintite sierosa) che francamente infettive (labirintite suppurativa) e secondarie all’osteite. Le labirintiti si osservano essenzialmente nelle mastoiditi secondarie a un colesteatoma(Osma U., 2000 ; Magliulo G., 1995, Soda-Merhy A., 2000). Le fistole labirintiche complicano circa il 10% delle otiti croniche colesteatomatose (Soda-Merhy A., 2000). Le fistole labirintiche che complicano un’otite cronica non colesteatomatosa sono molto più rare. Possono essere postoperatorie immediate, tardive o persino molto ritardate (64 anni dopo un intervento chirurgico nello studio di Hakuba et al (Hakuba N., 2002).

ANATOMIA PATOLOGICA:
Labirintite sierosa Fig.5
La classificazione di labirintite sieroso è basata sulla presenza di colorazione eosinofila dei fluidi dell’orecchio interno (Fig. 5). La labirintite può essere localizzato nella zona della membrana della finestra rotonde o diffusamente distribuito nell’orecchio interno. Gli agenti irritativi possono essere tossine batteriche, mediatori o biprodotti di infiammazione o prodotti di crescita metabolica neoplastica nell’osso temporale. La caratterizzazione istopatologica è basata su colorazione eosinofila dei fluidi dell’orecchio interno.

Fig.5
Labirintite purulenta (Fig.6a-b-c)
La labirintite purulenta è associata alla meningite che colpisce i bambini fino ai 2 anni, può portare a sordità grave ed è caratterizzata dalla presenza di un gran numero di cellule infiammatorie, i batteri possono invadere l’orecchio interno durante episodi di meningite, otite acuta o cronica, infezioni lontane o sistemiche, Può essere causata da diverse situazioni: Parotite, meglio conosciuta come “orecchioni”, malattia virale contagiosa che colpisce una o entrambe le grosse ghiandole salivari poste dietro la mandibola (Parotidi),Infezioni delle alte vie respiratorie, Herpes virus o durante la chirurgia aprendo inavvertitamente l’orecchio interno. Altro cambiamenti patologici dell’orecchio interno comprendono: grave necrosi delle strutture cocleari, vasodilatazione, e di emorragia. Clinicamente, il nistagmo spesso batte verso il lato sano ed è probabile la perdita permanente dell’udito
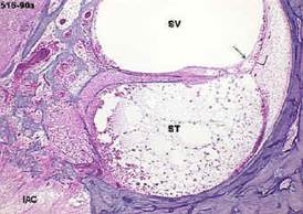
![]() | Fig.6a: Vista superiore del giro basale mostra cellule infiammatorie nella scala timpanica (ST), Scala vestibuli (SV), e nel condotto uditivo interno (IAC), la membrana di Reissner (freccia) è crollata con infiltrazione infiammatoria della Scala media. |
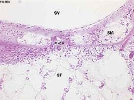
![]() | Fig.6b: Questa immagine con alto potere dimostra la presenza di cellule infiammatorie nella scala timpanica (ST) e Scala dei media (SM). C’è grave atrofia dell’organo del Corti (O di C). |
![]() | Fig.6c: Si possono osservare leucociti polimorfonucleati nella scala timpanica (ST) in questa immagine ad alta risoluzione del giro basale. C’è la perdita di cellule ciliate (frecce). SM = scala media. |
Labirintite fibrosa (Fig.7)
Quando si studia la fase cronica della labirintite, predominano i fibroblasti ed il tessuto fibroso. Il tessuto fibroso sostituisce progressivamente gli spazi e le strutture cocleari. Questa fase inizia 2-3 mesi dopo l’insorgenza di infezioni e può continuare a progredire per molti anni.
![]() | Fig.7:Immagine ingrandita del giro basale mostra tessuto fibroso (F) e la perdita totale dell’organo del Corti (freccia). |
Eziologia
Le cause che possono contribuire alla formazione della labirintite sono diverse, e cioè:
un virus;
un’infezione batterica;
un trauma cranico;
uno stress estremo;
una reazione allergica a un certo farmaco;
l’assunzione di alcol;
un’infezione delle vie respiratorie superiori;
una meningite;
l’affaticamento;
Mentre le vertigini sono una situazione frequente, la vera labirintite è oggi una situazione piuttosto rara.
Labirintite virale
Otogena: compare nel quadro di un’infezione virale delle vie respiratorie superiori (da Picorna virus, Influenza, Parainfluenza, Virus Respiratorio-sinciziale, Corona-virus, Adenovirus). Le infezioni virali possono causare la perdita dell’udito congenita ed acquisita. Rosolia e citomegalovirus sono le cause virali più riconosciuti di ipoacusia prenatale. Perdita di udito virale indotta nel periodo post-natale ed è di solito causata dalla parotite o morbillo. Le infezioni virali sono anche implicati nella: ipoacusia neurosensoriale improvvisa idiopatica (SNHL). Prove sperimentali suggeriscono che le proteine infiammatorie giocano un ruolo fondamentale nella patogenesi della perdita dell’udito da citomegalovirus (Schraff S.A., 2007).
Una singolare forma di labirintite virale è l’herpes zoster oticus, o sindrome di Ramsay-Hunt. La causa di questo disturbo è la riattivazione di un infezione latente da varicella-zoster che si può verificare dopo anni dall’infezione primaria. L’evidenza suggerisce che il virus può attaccare la ganglio spirale e vestibolare, oltre ai nervi cocleari e vestibolari (Kuhweide R.,2002),i sintomi uditivi e vestibolari si sviluppano in circa il 25% dei pazienti con herpes oticus, oltre alla paralisi facciale e al rash vescicolare che caratterizzano la malattia (Hato N.,2000).
• Sintomatologia e quadro clinico: disturbi dell’equilibrio, versamento endotimpanico sieroso, ipoacusia di tipo misto di grado da lieve a medio, acufeni. Stato generale moderatamente compromesso, assenza di dolori, evidenza radiologica di velatura delle cellule mastoidee.
Meningogena: labirintite a comparsa prevalente nei bambini, nel corso di una meningite da parotite, da virus del morbillo, o da virus para-influenzali (trasmissione attraverso il condotto uditivo interno o l’acquedotto della coclea).
• Sintomatologia e quadro clinico: sintomi generali di meningite (stato generale compromesso fino alla somo1enza, vomito, cefalea, rigidità nucale, febbre). Sordità mono o bilaterale; quando monolaterale spesso non viene riconosciuta. Raramente sintomatologia vertiginosa. Linfocitosi liquorale.
Labirintite batterica
Otogena: cause: otite media acuta batterica, soprattutto in età pediatrica, per diffusione dell’infezione (attraverso le finestre cocleari o i canali vascolari ossei). Anche se la labirintite batterica è rara in epoca postantibiotica, la meningite batterica rimane una causa importante di perdita dell’udito (Wu J.F., 2012). I sintomi uditivi, vestibolari o entrambi possono essere presenti in circa il 20% dei bambini affetti da meningite (Nadol JB Jr.,1978). La meningite tipicamente colpisce entrambe le orecchie, mentre le infezioni otogena tipicamente causano sintomi unilaterali. Invasione colesteatomatosa del labirinto attraverso una fistola labirintica. Infezione secondaria a trauma (ad es. frattura della rocca petrosa) o in caso di fistola perilinfatica spontanea o di malformazione congenita della coclea con spazi perilinfatici ampliati (perilinfa = liquor), come ad es. nella displasia di Mondini.
• Agenti patogeni più frequenti: Pneumococchi, H. Influenzae, Streptococchi beta emolitici (A), raramente da E. Coli, Klebsiella pneumoniae.
Labirintite suppurativa (Fig.8)
Fig.8:Labirintite suppurativa La scala timpanica del giro basale della coclea è riempita con una miscela di cellule infiammatorie acute, batteri |
In pazienti con meningite, i batteri possono diffondersi dal liquido cerebrospinale al labirinto membranoso attraverso il condotto uditivo interno o l’acquedotto cocleare. Le infezioni batteriche dell’orecchio medio o mastoide si diffondono al labirinto,generalmente,attraverso un deiscenza del canale semicircolare orizzontale (Gulya A.J.,1993).Di solito, la deiscenza è il risultato di un’erosione da parte di un colesteatoma. La labirintite suppurativa ,causata da un’otite media è rara nell’era postantibiotica. Quando si verifica una labirintite suppurativa, è quasi sempre associata ad un colesteatoma. Sintomi comuni di labirintite batterica sono: profonda perdita dell’udito, gravi vertigini, atassia, nausea e vomito.
Labirintite ossificante (Fig.9)
Fig.9:Il giro di mezzo della coclea viene completamente cancellato dal nuovo osso. Si noti che il contorno della coclea rimane distinguibile dal normale capsula otica circostante. H & E 42 x. |
spesso segue alla labirintite suppurativa, pertanto, le decisioni riguardanti l’impianto cocleare devono essere fatte in anticipo. La meningite può anche causare una perdita uditiva progressiva, secondaria a necrosi e fibrosi della coclea membranosa e del labirinto (Berlow S.J.,1980).
Labirintite sierosa (Fig.10)
Fig.10:Labirintite sierosa. Vi è una piccola quantità di precipitato nella scala vestibuli del giro apicale della coclea |
si verifica quando le tossine batteriche ed i mediatori infiammatori, come le citochine, enzimi, e complemento, attraversano la membrana della finestra rotonda, causando infiammazione del labirinto, in assenza di contaminazione batterica diretta (Jang CH,2005). Questa condizione è associata con le malattie acute o croniche dell’orecchio medio è si ritiene sia una delle complicanze più comuni di otite media Le tossine, enzimi, e altri prodotti infiammatorio infiltrano la scala timpanica, formando un bel precipitato appena mediale alla finestra della membrana rotonda. La penetrazione degli agenti infiammatori nell’ endolinfa a livello della membrana basilare determina nella coclea una ipoacusia da lieve a moderata, con SNHL (SensoriNeural Hearing Loss) alle alte frequenza.
Test audiometrico rivela una perdita uditiva mista quando è presente una effusione dell’orecchio medio. Si possono verificarsi sintomi vestibolari, ma sono meno comuni. Il trattamento mira ad eliminare l’infezione sottostante e di eliminare il versamento dall’orecchio medio . La perdita dell’udito è di solito transitoria, ma può persistere se l’otite è lasciata e non viene trattata.
• Sintomatologia e quadro clinico: intensa vertigine rotatoria, vomito, sordità, segni meningei, grave compromissione dello stato generale, febbre elevata, VES e PCR elevate, aumento delle cellule e di albumina nel liquor.
Virus e batteri responsabili
Poche prove dirette suggeriscono una causa virale per la labirintite, tuttavia, una ricchezza di evidenze epidemiologiche implica un certo numero di virus come potenzialmente responsabili dell’ infiammazione del labirinto. La labirintite virale è spesso preceduta da una infezione del tratto respiratorio superiore e si verifica nel corso di epidemie. Il ritrovamento istologico della degenerazione assonale del nervo vestibolare suggerisce una eziologia virale per la neurite vestibolare (Schuknecht HF, 1981).
I batteri che causano la labirintite sono gli stessi batteri responsabili della meningite ed otite. Gram-negativi si riscontrano più comunemente quando il fattore scatenante è il colesteatoma.
Potenziali cause virali di labirintite sono i seguenti: (Fig.11a-b-c-d-e-f-g-h-i-l-m-n)
![]() | ![]() | ![]() | ![]() |
| Fig.11a:Citomegalovirus | Fig.11b:Virus della parotite | Fig.11c:Virus varicella-zoster | Fig.11d:Rubeola virus |
![]() | ![]() | ![]() | ![]() |
| Fig.11e:Virus dell’influenza | Fig.11f:Parainfluenza virus | Fig.11g:Virus della rosolia | Fig.11i:Herpes simplex virus 1 |
![]() | ![]() | ![]() | |
| Fig.11l:Adenovirus | Fig.11m:Coxsackievirus | Fig.11n:Il virus respiratorio sinciziale |
Potenziali cause batteriche di labirintite sono i seguenti: (Fig.12a-b-c-d-e-f-g-h-i-l-m)
![]() | ![]() | ![]() | ![]() |
| Fig.12a:Streptococcus pneumoniae | Fig.12b:Haemophilus influenzae | Fig.12c:Moraxella catarrhalis | Fig.12d:Neisseria meningitidis |
![]() | ![]() | ![]() | ![]() |
| Fig.12e:Streptococcus specie | Fig.12f:Staphylococcus specie | Fig.12h:Proteus specie | Fig.12i:Bacteroides specie |
![]() | ![]() | ||
| Fig.12l:Escherichia coli | Fig.12m:Mycobacterium tuberculosis |
Labirintite autoimmune
La labirintite autoimmune è una rara causa di sordità neurosensoriale e può verificarsi come un processo locale dell’orecchio interno o come parte di una malattia autoimmune sistemica, come la granulomatosi di Wegener o poliartrite nodosa (Harris J.P.,1995; Broughton S.S.,2004).
Meningogena: diffusione (condotto uditivo interno, acquedotto della coclea) Fig.13a-b-c-d
![]() | Fig.13a: di una meningite meningococcica |
![]() | Fig.13b: di una meningite pneumococcica |
![]() | Fig.13c: di una meningite tubercolare. |
![]() | Fig.13c: di una meningite da Haemophilus influenzae tipo B (soprattutto nei bambini) |
•Sintomatologia e quadro clinico: sintomatologia meningitica generale, vertigine, vomito, ipoacusia fluttuante mono o bilaterale o sordità. Possibili residui uditivi sulle tonalità medie e acute. Rapida ossificazione postinfiammatoria delle cavità cocleari .
Ematogena:Fig.14a-b-c
• Treponema pallidum:
![]() | Fig.14a: lue congenita o acquisita. Gomme luetiche a livello dell’endostio della parete della coclea e dell’organo vestibolare, anche entro il condotto uditivo interno. Ipoacusia fluttuante per idrope endolinfatica con vertigini di origine vestibolare. Positivo il segno di Hennebert o (segno della fistola). Tardivamente sordità. E possibile anche sintomatologia simile alla sordità improvvisa con vertigine. |
• Mycobacterium tuberculosis:
![]() | Fig.14b: formazione di granulomi tubercolari lungo i vasi con invasione degli spazi labirintici. Ipoacusia neurosensoriale ingravescente. Per lo più il quadro clinico è quello di una Tbc miliare o di una meningite tubercolare |
• Mucormicosi (Pliycomicosi rinocerebrale):
![]() | Fig.14c: sepsi micotica acuta (generalizzata) (Rizopus, Absidia), soprattutto in corso di diabete mellito (acidosi), leucemia, AIDS, deficit immunitario. “Metastasi micotiche” nei polmoni, seni paranasali, encefalo, orecchio interno, intestino, cute. Granulomi nell’orecchio interno. Febbre settica, meningite, sordità. Quadro patologico raro, letale se riconosciuto tardivamente. Inizia con paralisi facciale, vertigine, sordità, sinusite purulenta, più tardi necrosi del setto, gangrena del palato, afasia, emiplegia da encefalite. |
ANAMNESI
Una storia medica completa, compresi i sintomi, la storia medica e farmaci, è essenziale per la diagnosi di labirintite come la causa della vertigine del paziente o perdita dell’udito. I sintomi da considerare nella storia clinica del paziente sono i seguenti:
• Vertigo – Tempi e durata, l’associazione con il movimento, la posizione della testa, e le altre caratteristiche
• La perdita dell’udito – unilaterale o bilaterale, di grado lieve o profonda, la durata, e le altre caratteristiche
• Pienezza Aural
• Tinnitus
• Otorrea
• Otalgia
• Nausea o vomito
• Febbre
• Debolezza facciale o asimmetria
• Dolore / rigidità del collo
• Respiratorio superiore sintomi di infezione del tratto – precedenti o concomitanti
• Alterazioni della vista
Passato, la storia medica del paziente deve essere esaminato per quanto segue:
• Gli episodi di vertigini o perdita dell’udito
• Infezioni
• Contatti Sick
• Chirurgia dell’orecchio
• L’ipertensione / ipotensione
• Diabete
• Corsa
• Emicrania
• Trauma (testa o rachide cervicale)
• Storia familiare di perdita o di malattia dell’orecchio dell’udito
Storia farmacologica del paziente deve anche essere presa in considerazione. Controllare l’uso dei seguenti farmaci:
• Aminoglicosidi e di altri farmaci ototossici
• I beta-bloccanti e di altri antipertensivi
• Tranquillanti, tra cui le benzodiazepine
• Antiepilettici
• Alcol
• Droghe illecite
Labirintite virale
La labirintite virale è caratterizzata da una , perdita improvvisa unilaterale della funzione vestibolare e dell’udito. L’insorgenza acuta è grave, spesso invalidante, associata spesso a vertigini; nausea e vomito sono caratteristiche di questo disturbo. Il paziente è spesso costretto a letto, mentre i sintomi gradualmente diminuire. Vertigo alla fine si risolve dopo alcuni giorni o settimane, tuttavia, instabilità e vertigine posizionale possono persistere per diversi mesi. La perdita dell’udito è comune e può essere il sintomo di presentazione primario in molti pazienti.
Una infezione del tratto respiratorio superiore precede l’insorgenza dei sintomi cocleovestibolari nel 50% dei casi. Attacchi ricorrenti sono segnalati, ma sono rari e possono essere confusi con la malattia di Ménière. E’ comune la risoluzione delle vertigini e del disequilibrio ed è dovuta al recupero parziale della funzione vestibolare, con concomitante compensazione centrale del restante deficit vestibolare unilaterale. Il miglioramento della funzione uditiva, di solito rispecchia il ritorno della funzione vestibolare.
Una singolare forma di labirintite virale è l’herpes zoster citato oticus, o sindrome di Ramsay-Hunt. La causa di questo disturbo è riattivazione di un latente varicella-zoster infezione che si verificano anni dopo l’infezione primaria. L’evidenza suggerisce che il virus può attaccare la spirale e ganglio vestibolare oltre ai nervi cocleari e vestibolari (Kuhweide R.,2002).
I primi sintomi di herpes zoster oticus sono profonde, bruciore, dolore auricolare seguita pochi giorni dopo da una eruzione di un esantema vescicolare nel canale uditivo esterno e Concha. Vertigini, perdita di udito, e la debolezza del viso possono seguire singolarmente o collettivamente. I sintomi di solito migliorano nell’arco di poche settimane, tuttavia, i pazienti spesso soffrono di perdita dell’udito permanente e persistente riduzione delle risposte calorici (Hato N.,2000).
Labirintite autoimmune
Labirintite autoimmune è una causa rara di sordità neurosensoriale e può verificarsi come un processo orecchio locale, interno o come parte di una malattia autoimmune sistemica, come la granulomatosi di Wegener o poliartrite nodosa.La perdita dell’udito nella malattia autoimmune dell’orecchio interno è tipicamente bilaterale e progressiva nel corso di settimane o mesi. Disturbi vestibolari può verificarsi fino al 80% dei pazienti con malattia autoimmune dell’orecchio interno(Harris J.P.,1995;Broughton S.S.,2004).
Sintomatologia
I sintomi principali della labirintite sono:
· La sensazione di vertigine, provocata da un non corretto funzionamento del sistema vestibolare, il quale è costituito da tre canali semicircolari che rilevano la rotazione del capo, e dalle otoliti che rilevano i movimenti lineari del corpo. Il cervello con le informazioni che riceve dal sistema vestibolare e con le indicazioni visive apporta le eventuali regolazioni necessarie perché il corpo resti in equilibrio. Se il sistema è affetto da labirintite, le informazioni che esso trasmette al cervello sono errate e possono provocare quella sensazione di vertigine che poi provocherà: nausea, malessere generale, forti mal di testa, vomito, pallore, tachicardia, sudorazione disturbi dell’equilibrio ecc. I segni possono presentarsi improvvisamente, gradualmente o in maniera fluttuante (Haddad J., 1994). Il quadro è spesso incompleto. Le vertigini possono essere limitate a una instabilità. L’esame obiettivo mette in evidenza un nistagmo rotatorio orizzontale del lato affetto in caso d’irritazione, del lato sano in caso di distruzione.;
· Grave instabilità, che impedisce perfino, in fase acuta, la stazione eretta, e costringe la permanenza a letto per qualche giorno. Questo perché la labirintite causa la modifica della disposizione del liquido contenuto nei canali auricolari, che serve a far percepire al cervello la posizione del corpo nello spazio;
· La manifestazione degli acufeni, dei fischi perenni e fastidiosi che si possono udire in momenti alternati, in fase iniziale della malattia, oppure di continuo, sintomo che si presenta nella fase cronica della malattia;
· Il peggioramento dell’udito può risultare un sintomo, che va riferito immediatamente al medico o ad uno specialista. L’ipoacusia è una sordità di percezione endococleare. In caso di labirintite sierosa, la perdita uditiva è in genere moderata, da 20 a 40 dB. Di contro, in caso di labirintite suppurativa, l’ipoacusia è profonda. (Osma U., 2000) prognosi mediante biopsia.
· L’ansia cronica è un effetto collaterale della labirintite che può produrre tremori, palpitazioni cardiache, attacchi di panico e depressione. Spesso quest’ansia è uno dei sintomi iniziali della labirintite;
Manifestazioni cliniche
La labirintite si manifesta sotto diverse forme:
· Forma acuta – si manifesta improvvisamente su un lato del sistema vestibolare. La patologia può presentarsi come sierosa, con ipoacusia, nistagmo, vertigini, nausea, vomito, oppure purulenta, con vertigini, turbe dell’equilibrio, nausea e sordità. Le forme di labirintite sierose si risolvono abbastanza rapidamente senza creare particolari problemi, mentre le forme purulente possono causare danni permanenti, come insufficienze uditive e difetti dell’equilibrio irreversibili. Secondo i ricercatori, dopo il periodo iniziale il cervello riconosce che i dati che il sistema vestibolare gli trasmette sono errati, quindi li ignora e si affida al processo chiamato morsetto cerebellare per mantenere l’equilibrio del corpo. Le sensazioni di stordimento e vertigini miglioreranno leggermente permettendo al malato di camminare. Quest’ultimo, però, si sentirà instabile soprattutto al buio o su superfici morbide e irregolari come l’erba, un tappeto o la ghiaia. Il morsetto cerebellare può persistere anche per giorni o settimane dopo la lesione iniziale.
· Forma cronica – si manifesta con sintomi leggermente meno gravi, con però vertigini, nausea, vomito e malessere totale. Questo tipo di labirintite persiste solitamente per circa tre-quattro settimane dopo la lesione iniziale. Una volta superata la fase cronica il paziente non avrà più alcun sintomo
Complicazioni
Nel corso di una labirintite batterica otogena ad es. meningite, encefalite, empiema epidurale, ascesso cerebellare, ascesso dell’apice della rocca, sordità. Possibile esito letale.
Diagnostica
Indispensabile:
L’esame fisico comprende una testa completa e un esame del collo, con l’accento sulla otologica, oculare, e le porzioni dei nervi cranici dell’esame. Un breve esame neurologico è anche necessario. Cercate la presenza di segni meningei se la meningite è una considerazione.
Es. ORL completo.
L’esame otologica deve essere effettuato come segue:
• Eseguire un controllo esterno per i segni di mastoidite, cellulite, o la chirurgia dell’orecchio prima
• Controllare il condotto uditivo per otite esterna, otorrea, o vescicole
• Otomicroscopia: Ispezionare la membrana timpanica e l’orecchio medio per la presenza di perforazione, versamento endotimpanico, membrana timpanica pulsante, otite media purulenta, colesteatoma, frattura (scalino visibile) ?
• audiogramma in tutti i pazienti che possono avere labirintite (Fig.15a). Valutare i pazienti in condizioni critiche e gravemente vertiginosa quando sono stabili e in grado di tollerare il test. L’audiogramma può mostrare risultati diversi in relazione alla eziologia dell’infiammazione labirintica.
Le persone con labirintite virale hanno ipoacusia da lieve a moderata, SNHL ad alta frequenza nell’orecchio interessato, anche se qualsiasi spettro di frequenza può essere influenzata.
In genere la labirintite Suppurativa (batterica) produce una perdita uditiva unilaterale da grave a profonde, fino all’anacusia. In casi di meningite, la perdita è spesso bilaterale. Persone con labirintite sierose (batterica) hanno, perdita unilaterale dell’udito nell’orecchio interessato alle alte frequenze. Nello stesso orecchio può verificarsi una perdita trasmissiva secondaria all’ effusione.
![]() |
| Fig.15a: L’audiometria mostra una ipoacusia neurosensoriale per le alta frequenze sul lato sinistro. |
![]() |
| Fig.15b: I VEMP’s sono ridotti a sinistra. |
• i VEMP’s (Fig.15b) sono variabili nelle labirintiti. Nei casi più gravi, i VEMP’s sono ridotti. Si potrebbe pensare che la mancanza di un VEMP’s dovrebbe prevedere la mancanza del canale posteriore VPPB, come si è visto in questo caso.
• Emissioni otoacustiche, ABR in lattanti e bambini piccoli.
Esami vestibolari(Fig.15c)
•Test calorico e una videoelettronistagmografia possono aiutare nella diagnosi di casi difficili e stabilire una prognosi per il recupero. L’evidenza suggerisce che un’attenta valutazione del riflesso vestibolo-oculare può aiutare a stabilire l’eziologia della labirintite(Maire R.,2006).
Le persone con labirintite virale hanno un nistagmo con paresi / ipofunzione vestibolare. unilaterale alle caloriche
Persone con labirintite suppurativa (batterica) hanno un nistagmo e una risposta calorica assente sul lato interessato.
Persone con ) labirintite sierose (batterica)di solito hanno risultati videoelettronistagmografici normali, ma possono avere una risposta calorico ridotto nell’orecchio interessato. Tuttavia, la presenza di un versamento dell’orecchio medio può attenuare la risposta calorico e causare un risultato falso-positivo.
![]() |
| Fig.15c In questo caso di labirintite le prove caloriche sono ridotte a sinistra |
• Esame con occhiali di Frenzel: nistagmo verso il lato malato, successivamente di tipo deficitario.
Ricerca del segno della fistola.
Se le modifiche visive sono suggerite, consultare un oculista L’esame oculare deve essere eseguita come segue:
• Ispezionare la gamma di movimento oculare e la risposta pupillare
• Eseguire un esame oftalmoscopico per valutare presenza di papilledema
• Osservare per nistagmo (spontaneo, lo sguardo-evocato, e di posizione); effettuare un test di Dix-Hallpike se il paziente può tollerare
L’esame neurologico deve essere eseguita come segue:
• Eseguire un esame completo dei nervi cranici
• Valutare la funzione cerebellare eseguendo indice-naso
• TC d’urgenza ad alta risoluzione delle rocche petrose .
• Tampone (auricolare o rinofaringeo): tipizzazione dell’agente patogeno con antibiogramma, evtl. cultura micotica.
• Diagnostica liquorale: aumento delle cellule, dell’albumina e del glucosio, coltura batterica (anche TBC), spirochete, miceti, anticorpi antivirus neurotropi.
Utile in casi particolari:
• Laboratorio: emocromo con formula (leucocitosi con spostamento a sinistra), VES, PCR.
Studi di imaging
• La diagnostica per immagini è essenziale per la diagnosi di labirintite e per escludere le altre ipotesi diagnostiche. Alla risonanza magnetica nucleare, le labirintiti si manifestano con un ipersegnale nell’orecchio interno (Goldstein N.A., 1998).
TAC: (Fig.16a-b-c)
Si consideri una tomografia computerizzata (CT) scansione prima della puntura lombare nei casi di possibile meningite. Una TAC è utile anche per aiutare a escludere mastoidite come causa potenziale. Un TAC dell’temporale osso può essere di aiuto nella gestione dei pazienti con colesteatoma e labirintite.
Una scansione TAC senza contrasto è migliore per la visualizzazione di fibrosi e calcificazione del labirinto membranoso in persone con labirintite cronica o ossificante labirintite.
Fig.16a Labirintite ossificante. Immagine coronale CT ottenuta in un altro paziente mostra anomala deposizione di osso nella coclea (freccia dritta) anteriore alla IAC, con un normale promontorio cocleare (freccia curva) prodotto dal giro basale della coclea. Queste caratteristiche sono visti in labirintite ossificante ma non in aplasia cocleare. |
![]() ![]() |
| Vi è l’obliterazione osseo della coclea visualizzate (Fig.16b), vestibolo, e il canale semicircolare laterale (Fig.16c). Diagnosi: labirintite ossificante Il fattore eziologico più comune è l’infiammazione dell’orecchio interno, secondaria a meningite batterica e la successiva purulento labirintite. Altre cause meno comuni includono labyrinthectomy, traumi dell’osso temporale, malattia autoimmune dell’orecchio interno, sequela di parotite o morbillo, e otite media con associato labirintite suppurativa. Ossificazione in labirintite ossificante comunemente si verifica principalmente al giro basale della coclea, che è l’inserimento sito degli elettrodi di dispositivi di impianto cocleare, e successivamente può interferire con l’inserimento completo e risultati di successo. MRI è utilizzato per valutare per la fibrosi precoce prima della formazione di calcificazione. |
(Fig.16d)RM assiale in paziente con labirintite suppurativa. Freccia dimostra l’accrescimento del canale uditivo interno, coclea e vestibolo. |
• RM: esclusione di un’estensione intracranica . La risonanza magnetica (RM) può essere usato per aiutare a escludere neuroma acustico, ictus, ascesso cerebrale, o ematoma epidurale come potenziali cause di vertigini e perdita dell’udito(Fig.16d).
La coclea, vestibolo e canali semicircolari migliorare il T1 pesate, immagini con contrasto a persone con labirintite acuta e subacuta (Mark A.S.1992). Questo dato è altamente specifico e correla con l’obiettivo e la valutazione soggettiva del paziente. I miglioramenti che sono stati fatti nelle tecniche di risonanza magnetica possono fare questo lo studio della scelta per sospetta labirintite (Kopelovich J.C., 2011).
• Sierologia: virus della rosolia, dell’influenza, paramyxo-, adenovirus, lue ecc.
•Scintigrafia ossea (SPECT).
•Consulto interdisciplinare: neurologo, neuropediatra, dermatologo.
Considerazioni diagnostiche
Neurite vestibolare
Labirintite virale è spesso confusa con la neurite vestibolare, ed i termini sono a volte usati in modo intercambiabile nella letteratura. Tuttavia, molti autori concordano sul fatto che la neurite vestibolare è un disturbo del nervo vestibolare e non è associata con la perdita dell’udito(Schuknecht H.F.,1981). Perché la coclea è influenzata in infiammazione pan-labirintica, perdita dell’udito è sempre presente nelle persone con labirintite virale.
Neurite vestibolare in genere si manifesta come improvvisa, vertigine acuta senza perdita di udito in un paziente altrimenti sano. La condizione è più comune in quarta e quinta decade di vita e colpisce uomini e donne allo stesso modo. Un infezione del tratto respiratorio superiore spesso precede la condizione, e il disturbo è più comune in primavera e all’inizio dell’estate.
Gli studi istopatologici nervose dei pazienti con neurite vestibolare dimostrano perdita assonale, fibrosi endoneurale, e atrofia(Schuknecht H.F.,1981). Questi risultati sono coerenti con una eziologia infiammatoria virale. Il trattamento della neurite vestibolare e labirintite virale è simile.
Altre condizioni
Un case report del 2009 suggerisce che un infarto precoce dell’arteria anteriore inferiore cerebellare dovrebbe essere considerata in pazienti con perdita di udito acuto e vertigini (Lee H., 2009).
La labirintite non infettiva è molto raro nei bambini, quindi, cercare una diagnosi alternativa in pazienti di questa età. Labyrinthitis risultante da otite media o meningite non è raro in bambini.
Condizioni da considerare nella diagnosi differenziale di labirintite includono inoltre quanto segue:
• Insufficienza vertebro-basilare
• Vertigini presincopale
• Infarto cerebellare
• Disequilibrio di invecchiamento(presbiatassia)
• Vertigini e / o perdita di udito indotte da farmaci
Diagnosi differenziale
• Gocce auricolari ototossiche attraverso una perforazione centrale della membrana timpanica
• Vertigine parossistica posizionale benigna
• Herpes zoster otico
• Neurolue
• Barotrauma
• Lesione a carico dell’orecchio medio (infossamento della staffa),
• Vertigini del SNC
• Complicazioni di otite media
• Orecchio interno, malattia autoimmune
• Orecchio interno, malattia di Ménière: trattamento medico
• Orecchio interno, malattia di Ménière: trattamento chirurgico
• Orecchio interno, Ototossicità
• Orecchio interno,otoliquorrea (post-traumatica o in caso di fistola perilinfatica congenita o spontanea).
• Orecchio interno, improvvisa perdita dell’udito
• Emicrania associata a Vertigini
• Base cranica, tumori, altri tumori CPA
Terapia
Terapia medica in caso di labirintite virale:
Il trattamento iniziale per la labirintite virale consiste di riposo a letto e idratazione. La maggior parte dei pazienti possono essere trattati in regime ambulatoriale. Tuttavia, essi devono essere avvertiti di cercare assistenza medica per ulteriore peggioramento dei sintomi, in particolare sintomi neurologici (ad esempio, diplopia, difficoltà di parola, disturbi dell’andatura, debolezza localizzata o intorpidimento). I pazienti affetti da nausea e vomito gravi possono beneficiare di via endovenosa (IV) fluidi e farmaci antiemetici.
•Glicocorticoidi, ad es. rnetilprednisolone (inizialmente 500 mg. ev per 3 giorni), poi p.o. con prednisolone (inizialmente 120 mg/die, successivamente riducendo la dose di 5-10 mg al giorno).
•Terapia infusionale con soluzioni di elettroliti, evtl. con aggiunta di sostanze reologiche efficaci come pentoxifillina 100-300 mg in 250-500 ml di soluz. fisiologica. Velocità di infusione 100 mg/60 mm.
• Trattamento di infezioni rinogene (gocce nasali, mucolitici)
• Antiemetici ad es. tietilperazina maleato (2-4×1 supp. / die), cerotto transdermico (scopolamina).
• Eventualmente antibiotici ad es. cefalosporine di 3fl generazione, amoxicillina +/- inibitore della β-lattamasi
Terapia medica in caso di labirintite batterica:
Per la labirintite batterica, il trattamento antibiotico è stato selezionato sulla base di cultura e di sensibilità dei risultati. Il trattamento di labirintite suppurativa è volto a eradicare l’infezione sottostante, fornendo cure di supporto al paziente, drenare l’effusioni dell’orecchio medio o le infezioni mastoide e prevenire la diffusione dell’infezione.
• Terapia parenterale con alte dosi di antibiotici che superino la barriera liquorale, ad es. cefalosporine di 3 generazione, cloramfenicolo, anche antibiotici aminoglicosidici dopo antibiogramma.
• Trattamento dell’infezione otogena/rinogena di base.
• Antiemetici, ad es. ondansetrone (1 f im o cv 1-2/die), tietilperazina maleato (im o 1-2 amp. lentamente [!] ev / die).
• In caso di lue terziaria: penicillina G (1.000.000 di UI. im/die per 21 giorni). In caso di allergia alla penicillina utilizzare le tetracicline.
• In caso di Tbc: terapia antitubercolare attuata dall’internista.
• In caso di mucormicosi: controllo del diabete, amfotericina B (0,1-0,25 mg/kg KG/die fino a 0,6-1 rng/kg KG/die in un’unica dose).
• Infusione a goccia lenta di elettroliti, emoreologici (500 ml/die).
• Antipiretici.
•Riduzione della febbre con mezzi fisici (impacchi freddi).
Indicazioni all’intervento chirurgico: Nei casi di labirintite derivanti da otite media, eseguire un miringotomia ed evacuare l’effusione. Un tubo di ventilazione può anche essere indicato. Il versamento dell’orecchio medio deve essere inviata per la valutazione microscopica, così come la cultura e la sensibilità agli antibiotici.
Mastoidite e colesteatoma vengono gestiti meglio con il drenaggio chirurgico e per mezzo di una mastoidectomia, indicazione d’urgenza; ogni labirintite batterica otogena, indipendentemente dalla causa (otite media, post traumatica, con o senza paralisi facciale) viene trattata con un intervento chirurgico di timpanoplastica, alla scopo di eradicare la patologia infiammatoria cronica dalle cavità dell’orecchio medio..
Principi di intervento:
• Paracentesi, drenaggio transtimpanico.
• Bonifica di tutte le strutture ossee compromesse dall’infiammazione della rocca petrosa, ad es mastoidectomia, intervento radicale, labirintectomia,
• Evtl. solo antrotomia allargata o rnastoidectomia in caso di. irritazione del labirinto associato a infezione purulenta dell’orecchio medio.
•Intervento radicale in caso di invasione del labirinto da parte di un colesteatoma.
• Labirintectomia in caso di osteomielite (fresatura del labirinto cocleare e vestibolare, utilizzando la via d’accesso di un intervento radicale e obliterazione della cavità con lembo muscolo-fasciale.
Ambulatoriale/con ricovero: ricovero in ogni sospetto di labirintite.
Danni
Il deficit uditivo è generalmente irreversibile e spesso totale, con conseguente sordità monolaterale, mentre le vertigini acute importanti persistono per qualche giorno senza interruzione. Poiché questo evento comporta la perdita totale della funzione labirintica del lato colpito, per un certo tempo (giorni, settimane, ma a volte anche mesi) persiste un vero e proprio problema di evidente instabilità che tende con il tempo a regredire progressivamente. Il cervello, infatti, tende a creare un compenso della funzione persa, affidandosi solo al labirinto sano rimasto funzionante.
Poiché la malattia comporta la distruzione dei recettori vestibolari del lato colpito, una volta recuperato l’equilibrio grazie al compenso vestibolare, non esiste più rischio di ricorrenza della vertigine. Qualora questa si verificasse nuovamente a distanza di tempo (sempre che la vertigine non derivi dall’altro lato), inevitabilmente la diagnosi fatta in precedenza di labirintite deve essere considerata sbagliata. Tutte le vertigini ricorrenti derivano infatti da una stimolazione di recettori, che per essere stimolati devono necessariamente essere in grado di rispondere.
Prognosi / Avvertenze
Buona quoad vitam, in caso di terapia precoce e corretta. Permangono frequentemente disturbi della funzionalità cocleo-vestibolare.
Cattiva in caso di mucormicosi associata a compromissione della funzionalità nervosa centrale.
In caso di sordità bilaterale dopo meningite batterica a causa di una tendenza all’ossificazione della coclea, è necessaria la programmazione precoce di un impianto cocleare.
BIBLIOGRAFIA
· Baloh RW, Honrubia V, Jacobson K. Benign positional vertigo: clinical and oculographic features in 240 cases. Neurology. Mar 1987;37(3):371-8. [Medline].
· Barkdull GC, Vu C, Keithley EM, Harris JP. Cochlear microperfusion: experimental evaluation of a potential new therapy for severe hearing loss caused by inflammation. Otol Neurotol. Jan 2005;26(1):19-26.[Medline].
· Battaglia A, Burchette R, Cueva R. Combination therapy (intratympanic dexamethasone + high-dose prednisone taper) for the treatment of idiopathic sudden sensorineural hearing loss. Otol Neurotol. Jun 2008;29(4):453-60. [Medline].
· Berlow SJ, Caldarelli DD, Matz GJ, Meyer DH, Harsch GG. Bacterial meningitis and sensorineural hearing loss: a prospective investigation. Laryngoscope. Sep 1980;90(9):1445-52. [Medline].
· Bohr V, Paulson OB, Rasmussen N. Pneumococcal meningitis. Late neurologic sequelae and features of prognostic impact. Arch Neurol. Oct 1984;41(10):1045-9. [Medline].
· Bovo R, Ciorba A, Martini A. The diagnosis of autoimmune inner ear disease: evidence and critical pitfalls.Eur Arch Otorhinolaryngol. Jan 2009;266(1):37-40. [Medline].
· Broughton SS, Meyerhoff WE, Cohen SB. Immune-mediated inner ear disease: 10-year experience. Semin Arthritis Rheum. Oct 2004;34(2):544-8. [Medline].
· Byl FM. Seventy-six cases of presumed sudden hearing loss occurring in 1973: prognosis and incidence.Laryngoscope. May 1977;87(5 Pt 1):817-25. [Medline].
· Gliklich R.E., Eavey R.D., Iannuzzi R.A., Camacho A.E. A contemporary analysis of acute mastoiditis Arch Otolaryngol Head Neck Surg 1996 ; 122 : 135-139[5]
· Goldstein N.A., Casselbrandt M.L., Bluestone C.D., Kurs-Lasky M. Intratemporal complications of acute otitis media in infants and children Otolaryngol Head Neck Surg 1998 ; 119 : 444-454 [cross-ref]
· Gulya AJ. Infections of the labyrinth. In: Bailey BJ, Johnson JT, Pillsbury HC, Tardy ME, Kohut RI, eds.Head and Neck Surgery-Otolaryngology. Vol 2. Philadelphia, Pa: JB Lippincott; 1993:1769-81.
· Haddad J. Treatment of acute otitis media and its complications Otolaryngol Clin North Am 1994 ; 27 : 431-441
· Harris JP, Ryan AF. Fundamental immune mechanisms of the brain and inner ear. Otolaryngol Head Neck Surg. Jun 1995;112(6):639-53. [Medline].
· Hato N, Kisaki H, Honda N, Gyo K, Murakami S, Yanagihara N. Ramsay Hunt syndrome in children. Ann Neurol. Aug 2000;48(2):254-6. [Medline].
· Jang CH, Park SY, Wang PC. A case of tympanogenic labyrinthitis complicated by acute otitis media.Yonsei Med J. Feb 28 2005;46(1):161-5. [Medline].
· Klein M, Koedel U, Pfister HW, Kastenbauer S. Meningitis-associated hearing loss: protection by adjunctive antioxidant therapy. Ann Neurol. Oct 2003;54(4):451-8. [Medline].
· Kopelovich JC, Germiller JA, Laury AM, Shah SS, Pollock AN. Early prediction of postmeningitic hearing loss in children using magnetic resonance imaging. Arch Otolaryngol Head Neck Surg. May 2011;137(5):441-7. [Medline].
· Kuhweide R, Van de Steene V, Vlaminck S, Casselman JW. Ramsay Hunt syndrome: pathophysiology of cochleovestibular symptoms. J Laryngol Otol. Oct 2002;116(10):844-8. [Medline].
· Kutz JW, Simon LM, Chennupati SK, Giannoni CM, Manolidis S. Clinical predictors for hearing loss in children with bacterial meningitis. Arch Otolaryngol Head Neck Surg. Sep 2006;132(9):941-5. [Medline].
· Lee H, Kim HJ, Koo JW, Kim JS. Progression of acute cochleovestibulopathy into anterior inferior cerebellar artery infarction. J Neurol Sci. Mar 15 2009;278(1-2):119-22. [Medline].
· Luntz M., Brodsky A., Nusem S., Kronenberg J., Keren G., Migirov L., e al. Acute mastoiditis, the antibiotic era; a multicenter study Int J Pediatr Otorhinolaryngol 2001 ; 57 : 1-9 [cross-ref]
· Maire R, van Melle G. Diagnostic value of vestibulo-ocular reflex parameters in the detection and characterization of labyrinthine lesions. Otol Neurotol. Jun 2006;27(4):535-41. [Medline].
· Cohen HS, Kimball KT. Decreased ataxia and improved balance after vestibular rehabilitation. Otolaryngol Head Neck Surg. Apr 2004;130(4):418-25. [Medline].
· Magliulo G., Vingolo G.M., Petti R., Ronzoni R., Cristofari P. Acute mastoiditis in pediatric age Int J Pediatr Otorhinolaryngol 1995 ; 31 : 147-151 [cross-ref]
· Mark AS, Seltzer S, Nelson-Drake J, Chapman JC, Fitzgerald DC, Gulya AJ. Labyrinthine enhancement on gadolinium-enhanced magnetic resonance imaging in sudden deafness and vertigo: correlation with audiologic and electronystagmographic studies. Ann Otol Rhinol Laryngol. Jun 1992;101(6):459-64.[Medline].
· Nadol JB Jr. Hearing loss as a sequela of meningitis. Laryngoscope. May 1978;88(5):739-55. [Medline].
· Osma U., Cureoglu S., Hosoglu S. The complications of chronic otitis media: report of 93 cases J Laryngol Otol 2000 ; 114 : 97-100 [cross-ref]
· Plontke SK, Löwenheim H, Mertens J, Engel C, Meisner C, Weidner A, et al. Randomized, double blind, placebo controlled trial on the safety and efficacy of continuous intratympanic dexamethasone delivered via a round window catheter for severe to profound sudden idiopathic sensorineural hearing loss after failure of systemic therapy. Laryngoscope. Feb 2009;119(2):359-69. [Medline].
· Schraff SA, Schleiss MR, Brown DK, Meinzen-Derr J, Choi KY, Greinwald JH, et al. Macrophage inflammatory proteins in cytomegalovirus-related inner ear injury. Otolaryngol Head Neck Surg. Oct 2007;137(4):612-8. [Medline].
· Schuknecht HF, Kitamura K. Second Louis H. Clerf Lecture. Vestibular neuritis. Ann Otol Rhinol Laryngol Suppl. Jan-Feb 1981;90(1 Pt 2):1-19. [Medline].
· Soda-Merhy A., Betancourt-Suarez M.A. Surgical treatment of labyrinthine fistula caused by cholesteatoma Otolaryngol Head Neck Surg 2000 ; 122 : 739-742 [cross-ref]
· Strupp M, Zingler VC, Arbusow V, Niklas D, Maag KP, Dieterich M, et al. Methylprednisolone, valacyclovir, or the combination for vestibular neuritis. N Engl J Med. Jul 22 2004;351(4):354-61. [Medline].
· Wei BP, Mubiru S, O’Leary S. Steroids for idiopathic sudden sensorineural hearing loss. Cochrane Database Syst Rev. Jan 25 2006;CD003998. [Medline].
· Westerlaken BO, Stokroos RJ, Dhooge IJ, Wit HP, Albers FW. Treatment of idiopathic sudden sensorineural hearing loss with antiviral therapy: a prospective, randomized, double-blind clinical trial. Ann Otol Rhinol Laryngol. Nov 2003;112(11):993-1000. [Medline].
· Woolley AL, Kirk KA, Neumann AM Jr, McWilliams SM, Murray J, Freind D. Risk factors for hearing loss from meningitis in children: the Children’s Hospital experience. Arch Otolaryngol Head Neck Surg. May 1999;125(5):509-14. [Medline].
· Wu JF, Jin Z, Yang JM, Liu YH, Duan ML. Extracranial and intracranial complications of otitis media: 22-year clinical experience and analysis. Acta Otolaryngol. Jan 8 2012;[Medline].






Fig.8:Labirintite suppurativa La scala timpanica del giro basale della coclea è riempita con una miscela di cellule infiammatorie acute, batteri
Fig.9:Il giro di mezzo della coclea viene completamente cancellato dal nuovo osso. Si noti che il contorno della coclea rimane distinguibile dal normale capsula otica circostante. H & E 42 x.
Fig.10:Labirintite sierosa. Vi è una piccola quantità di precipitato nella scala vestibuli del giro apicale della coclea






























Labirintite ossificante. Immagine coronale CT ottenuta in un altro paziente mostra anomala deposizione di osso nella coclea (freccia dritta) anteriore alla IAC, con un normale promontorio cocleare (freccia curva) prodotto dal giro basale della coclea. Queste caratteristiche sono visti in labirintite ossificante ma non in aplasia cocleare.

(Fig.16d)RM assiale in paziente con labirintite suppurativa. Freccia dimostra l’accrescimento del canale uditivo interno, coclea e vestibolo.