Ascesso zigomatico
Ascesso zigomatico come complicazione di un’otite media Nilam Sathe

INTRODUZIONE
La mastoidite acuta è la complicanza più comune dell’ otite media acuta (OMA) e il suo riconoscimento precoce e la gestione rappresenta ancora una sfida a causa di potenziali gravi conseguenze. L’avvento degli antibiotici ha ridotto significativamente l’incidenza e morbilità associata a complicanze (intracraniche e extracraniche); [ 1 ] tuttavia, restano un grave problema clinico, soprattutto se causata da batteri resistenti agli antibiotici. L’ascesso zigomatico è una complicanza (extra cranica) dell’ otite media acuta molto rara. Ascessi radice zigomatiche sono stati descritti solo in pochi casi clinici sparsi [ 2 – 4 ] non familiarità con la causa di una guancia gonfia può portare a ritardare di un adeguato trattamento con potenziale danno per il paziente. Friedrich Bezold (1824-1908) è stato uno dei primi che ha riportato su questo.
E ‘descritto come temporo parietale gonfiore secondaria di ascesso mastoide erodendo la radice del processo zigomatico. [ 1 ] extracranica estensione di infezioni mastoide è stato ulteriormente caratterizzato da Henri Luc nel 1900 quando ha descritto l’ascesso temporale sottoperiostale di origine otitic senza suppurazione intraossea. [ 5 ]
Il trattamento ideale per questi casi viene modificata mastoidectomia radicale con il drenaggio di ascessi. Indagine radiografica della mastoide può essere utile nella diagnosi di colesteatoma in presenza di un ascesso sottoperiostale mastoide.
Siamo qui presentiamo un rapporto raro caso di ascesso zigomatica associata otite media insieme con la sua presentazione clinica, radice della diffusione, revisione della sua gestione medica e chirurgica, con particolare riguardo ai metodi per la diagnosi accurata.
RELAZIONE SUL CASO
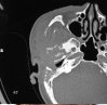
Segnaliamo su un uomo di 55 anni che ha presentato con scarico orecchio destro con diminuzione dell’udito per 5 mesi e proprio mal di orecchio per 2 mesi. Era sordo dolorante a inizio ripresa ma forte per 5 giorni accompagnati da esterno destro di gonfiore del viso [ Figura 1 ] ed è diminuito l’apertura della bocca per 5 giorni. No associata tinnito, vertigini, o altri sintomi costituzionali erano presenti. L’interessata canale uditivo esterno era gonfio e eritematosa. Il suo nervo facciale era intatto. Ad alta risoluzione di tomografia computerizzata (HRCT) di osso temporale mostrato irregolare dell’area osteolitica che coinvolge la porzione posteriore del giusto processo zigomatico e giunzione temporale zigomatico, cellula aria mastoide, cavità dell’orecchio medio con erosione di anteriore, laterale e superiore della parete. Vi è una evidenza di perifericamente potenziando la raccolta visto in tutto il processo zigomatico destro e misura 3,9 * 1,6 centimetri con gonfiore mal definita del tessuto molle di regione temporale destra (spazio masticatorio). Margine anteriore e posteriore di EAC mostra anche erosione [ figura 2 ]. Orecchio tampone inviare per la cultura e la sensibilità rinvasare venuto come pseudomonas aurigenosa. Abbiamo avviato antibiotici per via endovenosa, che ha portato in notevole miglioramento, la paziente ha subito un mastoidectomia radicale modificata con drenaggio di ascesso zigomatico. C’era un auto mastoidectomia e una massa granulare organizzata che riempe completamente la cavità mastoide con erosione completa del processo zigomatico e la presenza di un colesteatoma nell’attico. L’esame istopatologico del campione non mostra evidenza di malignità. I pazienti hanno esibito ottimo recupero post-operatorio, senza paralisi facciale, vertigini o altre complicazioni. La diagnosi di ascesso zigomatica associata a otite media non sicure è stato fatto.

Fotografia Clinica mostrando ascesso zigomatico

Ad alta risoluzione di tomografia computerizzata di temporale osso irregolare dell’area osteolitica che coinvolge la porzione posteriore del giusto processo zigomatico e giunzione temporale zigomatico, cellula aria mastoide, cavità dell’orecchio medio con erosione di anteriore, laterale e
D ISCUSSIONE
L’incidenza di complicazioni derivanti dalla otite media suppurativa è notevolmente diminuito dopo l’introduzione degli antibiotici. All’inizio del 20 ° secolo, il 50% di tutti i casi di otite media sviluppò una mastoidite coalescente. Nel 1959, l’incidenza è scesa al 0,4%. Studi recenti suggeriscono una corrente incidenza di solo 0,24%. [ 6 ]
Un mastoidite acuta può occasionalmente presentare come un rigonfiamento di fronte all’orecchio. Un’infiammazione delle celle d’aria della cavità mastoidea può diffondersi, tramite le cellule dala radice della zigomatica, ai tessuti molli della guancia. La fossa infratemporale o zigomatico è lo spazio delimitato lateralmente dal ramo della mandibola, medialmente dalla parete laterale del processo faringe e pterigoideo dello sfenoide, anteriormente dalla superficie zigomatico del mascellare superiore e superiormente dalla superficie inferiore della grande ala dello sfenoide e dell’osso temporale adiacente. Il limite posteriore dello spazio è rappresentato da un piano passante reparto mediale direttamente dal bordo posteriore del ramo della mandibola alla faringe. [ 7 ]
La diagnosi di ascesso della radice zigomatica alcune volte è molto difficile a causa di presentazioni cliniche variabili e spesso distinte da una mastoidite suppurativa. Alcune volte compaiono come condizione mascherate nonostante la presenza di una complicazione potenzialmente fatale. I pazienti possono non avere sintomi costituzionali. L’indagine comprende imaging avanzato risonanza TACHR o magnetica (RM) dell’osso temporale con ampia finestra per vedere il coinvolgimento dei tessuti molli e del colesteatoma in presenza di ascesso sottoperiostale o per escludere l’estensione intracranica. Il trattamento della radice dell’ascesso zigomatico associato con una otite media include una mastoidectomia radicale modificata con drenaggio dell’ ascesso zigomatico. Alcune volte, i pazienti possono rispondere solo alla terapia conservativa. [ 3 , 4 ]
C ONCLUSIONI
-
In sintesi, ascesso della radice zigomatica è una complicanza rara.
-
Di otite media acuta per essere un otologist contemporaneo, non dobbiamo trascurare tali complicazioni gravi di malattie otite media.
-
Sono raccomandati antibiotici appropriati per via endovenosa e interventi chirurgici adeguati, nel più breve tempo possibile.
-
Sono necessarie per la diagnosi di colesteatoma in presenza di un ascesso sottoperiostale della mastoide TACHR avanzata o RM dell’osso temporale con le finestre più ampie.
REFERENCES
1. Guo YC, Tsai TL, Shiao AS. Managements of complicated otitic abscess. J Chin Med Assoc. 2003;66:621–6. [PubMed]
2. Spiegel JH, Lusting LR, Lee KC, Murr AH, Schindler RA. Contemporary presentation and management of a spectrum of mastoid abscesses. Laryngoscope. 1998;108:822–8. [PubMed]
3. Tsai CJ, Guo YC, Tsai TL, Shiao AS. Zygomatic abscess complicating a huge mastoid cholesteatoma with intact eardrum. Otolaryngol Head Neck Surg. 2003;128:436–8. [PubMed]
4. Onyon C, Goodyear HM. Unusually positioned abscesses of the head and neck following suppurative otitis media. Br J Hosp Med (Lond) 2007;68:270–1. [PubMed]
5. Luc H. The sub-periosteal temporal abscess of otic origin without intra-osseous suppuration. Laryngoscope. 1913;23:999–1003.
6. Spiegel JH, Lustig LR, Lee KC, Murr AH, Schindler RA. Contemporary presentation and management of a spectrum of mastoid abscesses. Laryngoscope. 1998;108:822–8. [PubMed]
7. Cecil C, Grant MD. Abscess of the pterygomaxillary fossa complicating otitic infections review of the literature and report of a case. Arch Otolaryngol. 1932;16:845–50.