Le rinusiti micotiche rappresentano una patologia emergente degli ultimi anni con un netto incremento legato sia ad un aumento di sopravvivenza dei soggetti a rischio (diabetici ed immunodepressi) sia ad un miglioramento della diagnostica endoscopica e per immagini.
Si tratta di infezioni ubiquitarie, anche se con distribuzione prevalente nel continente africano rispetto ai paesi industrializzati, determinate da funghi. Gli agenti responsabili sono, nella maggior parte dei casi l’Aspergillus (specie Fumigatus, Flavus e Niger) appartenente alla famiglia delle Monilaceae, ed in minor misura l’Alternaria, la Bipolaris e la Curvularia della famiglia delle Demanticaceae, ed il Rhizopus, il Mucor e l’Absidia della famiglia delle Mucoraceae.
La sintomatologia è spesso aspecifica, del tutto simile a quella di una rinosinusite cronica batterica e pertanto, può essere nelle forme non invasive a lungo misconosciuta. I sintomi prevalenti sono caratterizzati da ostruzione nasale monolaterale, cefalea, algie facciali e tosse.
In base all’estensione ed al comportamento clinico possono essere suddivise in forme non invasive (Fungal ball e la rinosinusite allergica fungina) e forme invasive(rinosinusite fungina necrotizzante acuta, rinosinusite fungina invasiva cronica, rinosinusite fungina invasiva granulomatosa).
Le forme non invasive
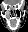
Fungal ball
Anche detto “Micetoma sinusale” ed è dovuto all’accumularsi di ife fungine che formano una massa di colorito biancastro all’interno della cavità sinusale senza segni di invasione della mucosa.
Più frequentemente è monosinusale anche se sono state descritti interessamenti polisinusali. La mucosa mostra segni di una flogosi cronica associata a fibrosi.
Il fungo è resistente alla terapia medica antibiotica e il trattamento generalmente risolutivo è quello chirurgico che consente, attraverso la tecnica endoscopica, di rimuovere la patologia e ripristinare, grazie all’ampliamento degli osti sinusali, la ventilazione e il drenaggio muco-ciliare.
Rinosinusite allergica fungina
Questa rinosinusite è dovuta ad una reazione di ipersensibilità di I tipo nei confronti di funghi colonizzanti la cavità sinusale. I pazienti affetti da tale entità nosologica presentano 5 caratteristiche fondamentali:
• stato di immunocompetenza,
• produzione di mucina eosinofila contenente ife fungine non invasive,
• degenerazione polipoide della mucosa nasale,
• caratteristiche radiologiche specifiche,
• iperreattività di primo tipo nei confronti dei funghi colonizzanti la cavità sinusale.
La sintomatologia all’esordio è subdola, i pazienti comunemente riferiscono l’istaurarsi di una progressiva ostruzione nasale con rinorrea muco-crostosa ma raramente lamentano algie cranio facciali, la cui presenza invece è predittiva di una concomitante rinosinusite batterica acuta.
Raramente l’esordio può essere drammatico, presentandosi con precoci complicanze orbitarie quali calo del visus, proptosi, telecanto, associate a completa ostruzione nasale.
All’esame endoscopico si evidenziano secrezioni naso-sinusali dense e viscose di colorito bruno-giallastre, con tappeto di eosinofili e scarse ife fungine all’esame microscopico spesso associate a poliposi nasale massiva mono o bilaterale altamente recidivante. La TC documenta la presenza di poliposi e di secrezioni patologiche associate ad aree focali di elevata densità. In questo caso il trattamento è sia medico, con somministrazione topica di farmaci corticosteroidei e antimicotici, che chirurgico, generalmente con tecnica endoscopica.
Le forme invasive
Rinosinusite fungina necrotizzante acuta
Rappresenta la forma più temibile, tipica dei soggetti immunodepressi o affetti da malattie metaboliche scompensate, e richiede diagnosi e trattamento tempestivi. Può portare rapidamente all’exitus. È caratterizzata da necrosi ischemica ed emorragica sia ossea che mucosa e da un rapido interessamento orbitario pterigo-mascellare o infra-temporale ed endocranico.
L’intevento chirurgico di urgenza prevede l’asportazione di tutto il tessuto necrotico e l’ampliamento degli osti sinusali, al fine di bloccare la progressione del processo patologico. Una massiva polichemioterapia, a pieno dosaggio e per via sistemica, deve poi essere proseguita per consentire una completa eradicazione della malattia.
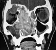
Rinosinusite fungina invasiva cronica
Molto meno aggressiva della precedente, è più frequente in pazienti diabetici o in condizioni generali scadute.
Generalmente interessa il compartimento naso-sinusale posteriore sia nella componente mucosa sia in quella ossea sottostante. E’ frequente, infatti, la diffusione dell’infezione fungina dall’etmoide posteriore all’apice dell’orbita.
Anatomo-patologicamente si caratterizza per la flogosi cronica con segni di invasione fungina della mucosa, la quale presenta aree di necrosi.
La TC mostra l’interessamento sia mucoso che osseo dei seni paranasali da parte dell’infezione micotica, in tal caso particolarmente aggressiva e con frequente estensione orbitaria ed endocranica (fossa cranica anteriore e media), con caratteristiche e patognomoniche calcificazioni endosinusali. La RMN è caratterizzata anche in questo caso dalla assenza di segnale e può contribuire, in tal senso alla diagnosi differenziale con le forme neoplastiche.
Il trattamento è combinato medico sistemico anti fungino e chirurgico.
Rinosinusite fungina invasiva granulomatosa
Interessa tipicamente soggetti immunocompetenti, con un andamento clinico indolente e generalmente ha una buona prognosi.
Ne sono descritti due tipi, il granuloma fungino primario paranasale, e la forma associata alla rinosinusite cronica ipertrofica. Il granuloma primario paranasale e dovuto generalmente all’Aspergillus Flavus ed è causato da una invasione fungina della mucosa e una conseguente reazione granulomatosa non caseosa. La forma associata alle rino-sinusiti croniche ipertrofiche, invece, è di difficile diagnosi e di solito si tratta di un riscontro occasionale dopo l’intervento chirurgico. Infatti la diagnosi si basa sulla dimostrazione, all’esame istologico definitivo sulla mucosa ipertrofica di una minima invasione delle ife fungine che raggiungono la sottomucosa ma vengono confinate da una evidente reazione granulomatosa.
Il trattamento chirurgico in questi casi è risolutivo anche se in alcuni casi può essere utile associare un trattamento anti-fungino nel post-operatorio per minimizzare le recidive.